虫歯・根管(神経)治療
※虫歯の大きさにより削る場合・抜く場合もあります
このページの目次
低侵襲虫歯治療で削ったり抜いたりを最小限に

歯の治療では痛みを伴うことが多いため、歯科医院を敬遠している方も多いかと思います。ですが現在の歯科治療では痛みを抑える、なくす治療方法も確立されてきています。当院では低侵襲治療により痛みを最小限、あるいは感じにくい治療を行っており、可能な限り削る部分を少なく、抜くこともない治療を重視しております。痛み、また削ることや抜くことを最小限化させる理由をご紹介させて頂きます。
C0

白く変色しているのも虫歯の仲間の可能性があります。自覚症状はほとんどありません。表面がザラついているときは、磨いてプラーク(歯垢)を付きにくくします。また、多少の変色であればそのまま様子をみる(経過観察)ようにしましょう。
C1・2

C1の場合は、歯科プラッスチックを用いてMI(ミニマムインターベンション)の考えを確実に再現した治療を行います。そして詰め物をします。つめ物の材質により特徴が違いますので形成の形態や型どりの方法もそれぞれに合わせてシステムを変えています。
C3

神経の治療が必要であれば、まず感染してしまった根管(歯根の中)を消毒、薬剤の充填を行います。根管充填もそれぞれに合った方法を用います。また、条件が整っている場合は、直接覆髄を行う場合もあります。直接覆髄を希望している場合は担当医と御相談下さい。
C4

歯根の状態を検査し可能であれば歯周外科処置を併用させC3と同じ条件にするための治療を行います(歯を残すための最後の治療)。C3のような処置(歯根を土台として被せる治療)が行えない場合は、残念ですが抜歯となります。
【トップスデンタル式】痛みを抑えた虫歯治療11の理由

トップスデンタルクリニック西新宿では痛みを軽減する11の方法を実践しています。全ての痛みをなくすことは大変難しいことではありますが、可能な限り痛みのない治療を行わせて頂きます。
① 表面麻酔で注射時の痛みを軽減

注射を行う際には針を刺す部分に表面麻酔テープを貼り痛みを軽減致します。テープタイプの麻酔薬を使用し、歯茎の表面を麻痺させてからの注射となるため、注射時の痛みを軽減させます。
② とても細い注射針を使用

注射の痛みは針の太さに比例致しますので、当院では歯科医院で使用できる中で最も細い33ゲージの注射針で麻酔注射を行います。
③ 超極小のドリルを使用

ドリルについても歯科医院で使用できる中で最も細いドリルを使用し、少しずつ削っていきます。細いドリルを使用することにより、虫歯となっていない部分まで余計に削ってしまうのを防ぎ、歯の健康をしっかりとを守っていきます。
④ 5倍速コントラ

患者様の中には歯を削る際の甲高い音を敬遠する方も少なくないと思います。当院で使用しております機器は通常の5倍の速さで回転するものを使用しており、音についても大幅に軽減できるものとなっております。また振動につきましても軽減がされておりますので、歯に響いて痛みを感じるといった心配も少ないです。
⑤ 拡大鏡を使用しての低侵襲治療

肉眼では確認が難しい部分、またはより拡大して治療を行う必要がある場合には、マイクロスコープや拡大鏡を使用して低侵襲治療を行っていきます。削る面積が大きくなると痛みも大きくなりがちですが、視野を拡大して治療を行うことにより削る部分を最小限とし痛みの少ない治療を行います。
⑥ YAGレーザーの使用

特殊な光を照射するYAGレーザーは、殺菌・止血・傷口の治癒促進などの効果があります。外科処置や口内炎の治療、歯石や小さな虫歯の除去、歯周ポケットや根管内の殺菌など様々な処置で使用することができます。YAGレーザーでの処置は痛みが少なく、歯を削る音や振動もありません。小さな虫歯であれば、麻酔せずに除去が可能です。
⑦ 電動麻酔の使用

麻酔の際は薬の注入圧力により痛みを感じることがあります。通常は手で薬を注入していきますが、希に多くの薬が入ってしまうことも考えられるため、当院では電動麻酔器により均一な薬の注入で痛みの軽減を図っています。
⑧ 麻酔液を人肌まで温める

温度差によっても痛みを感じることがありますので、冷凍保存されている薬をそのまま使用するのではなく、必ず人肌に温めてから使用することとしています。専用の機器により適切な温度に調整されておりますので、注入時の痛みは緩和されます。
⑨ 注射針の刺し方で痛みを軽減

注射の痛みは刺し方によっても左右されるものです。圧力の大きな刺し方をすると痛みも強くなってしまいますので、注射をする際には粘膜に当てるような形で針を刺していきます。
⑩ 針を刺すタイミングで痛みを緩和

リラックス状態が強いと痛みは緩和されるため、息を吐いて副交感神経が優位となっているタイミングを見計らって注射針を刺し、できるだけ痛みを感じないように工夫しています。
⑪ 予防歯科で治療のいらない歯へ

虫歯や歯周病の治療を行う際には、どうしても痛みが伴ってしまいますが、病気とならなければ治療を行う必要はありませんので、痛みも当然感じることはありません。当院ではこの予防歯科にも力を入れており、定期検診やクリーニングなどをおすすめしております。
【トップスデンタル式】歯を削らない6つの処置方法

トップスデンタルクリニック西新宿では可能な限り歯を削らない治療を行っております。大きく削って人工物で補修するのは簡単ですが、何よりも自身の歯を維持することが大切と考え、歯を残すための方法を最優先に考えております。
① カリソルブによる虫歯治療

この治療は虫歯となってしまった歯の象牙質の部分のみをカリソルブ液で溶かして除去するという方法です。健康な部分を削ることなく虫歯部分のみを治療することができます。この液はエナメル質や健康な部分を溶かすこともありませんし、歯茎や神経に対しても害はありません。虫歯部分のみへの治療としてとても有効なものとなっています。
② YAGレーザーによる虫歯の除去

小さな虫歯であれば、YAGレーザーを照射することによって、歯を削ることなく虫歯部分のみを蒸散させることができます。YAGレーザーは痛みもほとんどなく、歯を削る音や振動もないため、不快な思いをすることもありません。また、殺菌効果もあるため、治療後の再発リスクの軽減も期待できます。
③ 拡大視野下での精密な切削

拡大鏡やマイクロスコープを使用して視野を大きくすることにより、精密な治療を行うことができます。その結果、削りすぎてしまうことを防止し、早期の虫歯に対しても治療を行うことができます。当院では保険適用の有無にかかわらずこちらを使用しての治療を行っています。
④ エキスカを使用した虫歯除去

エキスカは耳かきのような形の治療器具で、虫歯の組織のみを取り除く際に使用します。ドリルで削る範囲を少なくし、細かな部分に対してはこの器具を使用することで、より精密に虫歯を除去することができます。
⑤ 虫歯検知液の使用

ウ蝕検知液という虫歯検知液の使用で、虫歯部分を赤く着色し健康な部分と見分けて治療を行います。こちらを使用することにより虫歯部分のみに着目して治療を行うことができ、削りすぎを防止することが期待できます。
⑥ Iconで初期虫歯のホワイトスポット(前歯の白濁)を削らずに治療
初期虫歯の症状として、前歯部分に多く見られる歯の白濁(ホワイトスポット)があります。ホワイトスポットは歯の表面の形状変化はありませんが、初期脱灰(虫歯菌の出す酸が歯を溶かすこと)によって、歯の内部がスカスカな状態になっています。
このような場合に、当院ではIconという浸透率の高いレジン(歯科用樹脂)で歯の内部の空洞を埋めることで、歯の見た目(ホワイトスポット)の改善はもちろん、歯をほとんど削ずることなく虫歯の進行を止めることが可能です。
麻酔なども使用せず、ケースによっては歯を削る必要がないため、痛みや不快感を感じることがほとんどありません。
ホワイトスポット(初期う蝕)を削らないで治療する方法について
~Iconを用いたホワイトスポットトリートメント~
前歯の白い変色が気になる患者さまもいらっしゃると思います。歯の一部が白く濁り、白い斑点や模様のように変色している部分のことを【ホワイトスポット】と呼びます。
従来の治療方法としては、歯を削ってレジン(歯と同じような色をした材料)で埋めることでした。しかし、歯を削って埋める方法だと綺麗に仕上げることは出来ますが、その後、境目の部分が茶色くなってしまったり、虫歯になってしまう場合があります。そのため、歯を削らないで治療する方法があれば治したいとお考えになる患者さまも多くいらっしゃると思います。
そこで当院がおすすめする治療法が、歯を削ることなくホワイトスポットを治せる「Iconを用いたホワイトスポットトリートメント」です。
白い変色の原因
歯が白く濁る原因については、大きく2種類に分けられます。脱灰性と非脱灰性です。脱灰性は初期う蝕(虫歯)のことで非脱灰性はエナメル質形成不全症などです。
初期う蝕
歯の表面からエナメル質が脱灰すると、白く濁り始めます。進行すると徐々に穴があいて黒くなっていきます。フッ素塗布による再石灰化での治療が可能です。
エナメル質形成不全症
遺伝や幼少期に栄養障害や外傷によって、歯の表面のエナメル質が正常に形成されないために生じる白い斑点です。脱灰ではありませんが、エナメル質が疎になってしまうことで無機質の量が少なくなってしまいます。このように、元々の構造による理由のため、フッ素塗布による再石灰化での治療はできません。
白い変色の治療方法について
歯の白い変色を改善するための主な治療法は下記の4つになります。
①フッ素塗布

フッ素塗布によって再石灰化が起こることで白斑が薄くなります。ただ時間がかかる上に効果に個人差があります。また、原因がエナメル質形成不全の場合は効果が見られません。
②ダイレクトボンディング

白斑を削って白い樹脂に置き換えます。歯を削る治療が必要となります。
③低粘性レジン浸潤法(Icon)

薬液を用いて白斑をなじませる方法です。歯を削る必要がなく、治療期間も短く済みます。
④ラミネートベニア

広い白斑に対して有効な治療方法です。歯を削り、付け爪のように薄いセラミックを貼り付けます。
Iconを用いて歯を削らずにホワイトスポットを治療した症例
▼トップスデンタルクリニックで実際に行ったIconを用いて歯を削らずにホワイトスポットを治療した症例をご紹介します。
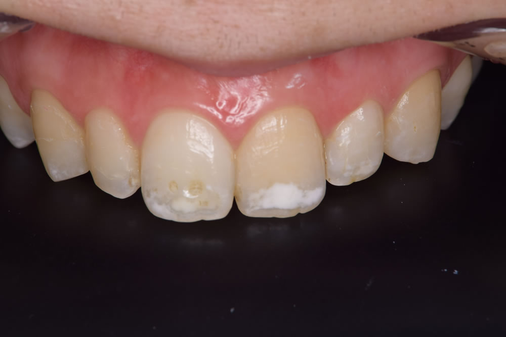
Iconを用いたホワイトスポットトリートメントの症例①
症例① ホワイトスポットトリートメントから1年後の前歯の経過
こちらは、ホワイトスポットトリートメントを行ってから1年が経過した際の写真です。
歯を削らずにホワイトスポットを治療したため、経年による変色や虫歯の悪化もなく経過は良好です。
Iconを用いたホワイトスポットトリートメントの症例②
低粘性レジン浸潤法(Icon)の原理
ホワイトスポットとはエナメル質が変性することにより、屈折率の変化によって周囲歯質と比較して白く濁って見えます。Iconは塩酸でエナメル質の脱灰部位に処理を行い、液状の樹脂を浸透させて、周囲歯質との屈折率を同化することで、白斑の消失を行っています。削らずにホワイトスポットを消すことが出来るのは低粘性レジン浸潤法を用いるからです。
低粘性レジン浸潤法(Icon)の手順
Iconの治療手順は2種類の薬液を交互に3回ぐらい擦り塗りします。その際、ホワイトスポットが消えにくい場合は、研磨用のディスクやポイントで研削して表面性状を変えます。
その後、コーティング剤を2度擦り塗ります。コーティング剤が硬化したら研磨して終了になります。治療は1DAYで終了です。しかも、約1時間ほどです。
術後経過
Iconはそもそも虫歯を抑制するために作られたものです。ですから、メインテナンスも他の歯と同じように行って頂くことで問題ありません。特別なことは必要ないと言うことです。
ただし、処置後1時間は飲食を控えて頂きます。また、処置直後は乾燥により処置した歯を白く感じることがありますが、2週間ほどで周囲の歯と馴染んできますので心配ありません。
【トップスデンタル式】歯を抜かない6つの処置方法

傷んだ歯を抜いてインプラントやブリッジ、または入れ歯などにする治療は比較的簡単なものですが、どのような治療の技術があっても素材が良くても天然歯にはおよびません。当院では可能な限り抜かない治療、また抜いたとしても自身の歯で再生させる治療をご提案致します。
① MTA等による歯髄保存

根管治療ではMTAという医療用の殺菌セメントを使用して修復を行います。MTAは強アルカリ性で強い殺菌効果を持っており、さらに封鎖性も高いので、根管内の封鎖治療に適したものであり、こちらを使用することで細菌増殖による再発のリスクを減らすことができます。
② 拡大視野での精密治療

治療では肉眼では確認しきれない部分も多いことから、拡大鏡やマイクロスコープの使用で視野を大きくし治療を行っていきます。視野を拡大することにより重症化する前の段階で虫歯を発見することもできますし、大きな虫歯であっても精密な治療が行えるようになります。
③ 歯周病治療の徹底

大人が歯を失ってしまう原因の1位は、実は虫歯ではなく歯周病です。当院では、日本歯周病専門医の資格を有する歯周病治療実績豊富な院長による歯周外科治療を実施しております。歯周病が原因で他院様で抜歯をすすめられた場合でも回避できる場合があります。(詳しくは歯周病ページをご覧ください)
④ 自分の歯の移植で補う

トップスデンタルクリニック西新宿ではインプラントやブリッジなどで補修する前に、親知らずの再利用をご提案しています。この方法には条件がありますが、人工物よりも親和性の高い自身の歯を使用することで、より良い噛み合わせを実現することができます。
⑤ エクストルージョンと外科的挺出

歯茎よりも上に歯がない状態となると、多くの歯科医院では歯を抜くことを提案されることでしょう。この状態では被せ物をする際のジョイントを立てることが難しく、仮にジョイントを形成させることができても破損してしまうリスクも大きくなります。ですがエクストルージョンと外科的挺出によって、歯の根っこ部分を上に引き上げることで、ジョイントを立てる適切な部分を確保することができ、歯を抜くことを回避することができます。
⑥ 根本治療によるリスクの低減

自覚症状が出てからの治療ではなく、患者様のお口の中でどのようなトラブルが発生しているのか、またその根本原因を取り除くことが大切です。ご自宅でのケア方法や生活習慣などを確認し、虫歯となってしまうリスクを少しでも軽減することも大切なことであると当院では考えています。当院では治療だけでなく根本原因を改善していくことにも力を入れてご案内をしております。
根管治療(神経の治療)について
歯科治療の中で頻繁に行われる治療の一つに根管治療があります。歯科医師との説明の中で「根の消毒」や「神経の治療」などの言い方を聞いたことがあると思います。
歯の中には根管と呼ばれる管が通っていて、その中には神経と血管の混じった歯髄が存在しています。歯髄は歯の成長や栄養供給、冷たい、温かい、痛みなどを感じるセンサーの役割も担っています。
根管治療は虫歯の進行などによって、歯髄や根管が汚れてしまった場合に行う治療法のことを言います。根管治療は別名:歯内療法とも呼ばれ、文字通り“歯”の“内側”をきれいにする治療と理解するとわかりやすいです。
実際、根管治療とはどのような治療なのでしょうか。
治療が必要な状態とは?
根管治療は虫歯が深くなって痛くなったり、歯髄や根管に感染した時に必要となります。原因は他にも歯にひびが入ったり、転んで歯が割れたり、以前に根管治療した歯がまた感染した場合などがあります。
レントゲン写真で歯の根の周囲が黒くなっている場合は感染が広がっていることを表している場合がほとんどです。
痛みや感染をそのままにしておくと、歯が傷んだり、歯の根の周囲の組織に菌が広がることで歯ぐきが腫れます。根管治療では根管内をキレイに消毒することで、痛みや感染を治療することができます。
治療内容について
歯の根管は一つの歯に大体1~4本あり、奥歯になるほど根管の数が多くなっていきます。奥歯では1本の歯に3~4本の根管が存在します。虫歯などにより、歯髄や根管が感染して菌で汚れてしまうと、根管治療が必要となり、これらの根管を1本ずつきれいに消毒していく必要があります。ただ、根管は直径1mm以下と非常に細く、しかも硬くなって細くなったりしている部分や、ぐねっと曲がったりしているものがあります。
根管治療ではこれら複雑な根管に対して、小さな器具を入れて中の汚れをとったり、薬を入れて消毒したり、根管を広げて最終的なお薬を入れるという非常に細かい作業を行なっています。患者さんもお口を開けているのが大変になりますが、歯科医師にとっても根気のいる治療のひとつです。
YAGレーザーによる根管内の消毒・殺菌で再発リスクの軽減
根管治療の際、根管内に細菌に感染した神経や血管などの物質が残ってしまうと、再び歯の内部で細菌が繁殖して症状が再発する可能性が高くなります。
当院では、専用器具での細菌感染物質の除去・洗浄をはじめ、YAGレーザーの照射によって根管の隅々まで消毒・殺菌することによって治療後の再発リスクの軽減に努めております。
治療期間
治療期間は歯の種類や汚れの程度によって様々です。1本1本を消毒する必要がありますので、回数がかかってしまう場合があります。一般的に3~6回で、前歯など根管の数が少ない場合は早く治療が済むこともあります。それに対して奥歯は根管の数が多く、管が曲がっていることが多いため、治療期間が長くなることも珍しくありません。さらに汚れが酷くて痛みがある場合なども中をしっかりときれいに消毒するために治療期間が長引くことが多いです。
患者さんにとっては歯の内側に行っている治療であるため、治療の進み具合がわかりにくく、汚れの具合によっては痛みが出ることもあるため、来院されるのを躊躇いがちになります。ですが、なんでも噛めて美味しく食事が出来るために、ひいては健康寿命が延ばしていくためにも、とても大事な治療となります。時間もかかる根気のいる治療となりますが、続けて受診していただければと思います。
予後
適切な治療を行えれば、90%以上の確率で歯を救うことができます。しかし、根管の治療が不完全な場合や、新たな感染や損傷が起こった場合は再治療が必要となります。汚れが多かったり、何度も根管治療を行なわれていたりすると成功率が60~70%と完治させることが難しい場合もあります。
症状の改善がみられない場合は、外科手術や大学などの専門機関での治療が必要となることがあり、最悪の場合は抜歯となってしまうこともありますので、症状があるときは早めに歯科医院を受診されることをお勧めします。
当院で実際に行った根管治療の症例
虫歯・根管治療・その他費用
| 名称 | イメージ | 特性 | 料金(税込) |
|---|---|---|---|
| DMG Icon | ![]() |
初期虫歯のホワイトスポット(白濁)に対し、流動性の高いレジンを浸透させて歯の内部の空洞を埋め、ホワイトスポットの改善、虫歯の進行を止めます。 |
|
| カリソルブ | ![]() |
次亜塩素酸ナトリウムとアミノ酸を主成分とする薬剤で虫歯を溶かすことにより、健康な歯を削らずに虫歯治療を行います。 |
33,000円 |
| レーザーによる虫歯治療 | ![]() |
YAGレーザーを照射して、歯を削らずに虫歯だけを除去します。レーザーによる虫歯治療は、痛みが少なく、治療中の不快感を抑えられるのが特長です。 |
11,000円 |
| 根管治療 | ![]() |
専用の器具・材料を用いて根管治療を実施いたします。 |
|
| 抜歯 | ![]() |
保存不可能な場合や各治療の必要に応じて抜歯をします。 |
大臼歯抜歯 11,000~16,500円 小臼歯抜歯 5,500円 便宜抜歯 5,500円 |
東京西新宿での虫歯治療ならトップスデンタルクリニック西新宿へ

当院トップスデンタルクリニック西新宿ではなるべく痛みをおさえた虫歯治療を行っております。また削る部分を最小限に、そして歯を抜くことについても最小限にする治療を目指しております。東京西新宿で虫歯治療をご検討の際には西新宿五丁目駅すぐのトップスデンタルクリニックまでぜひご相談下さい。













